İlkokulu Bursa Özel İnal Ertekin Ana ve İlkokulunda, ortaokul ve liseyi İstanbul Amerikan Robert Lisesinde okudum. İstanbul Üniversitesi Diş Hekimliği Fakültesinde 5 yıllık eğitim sonrası Diş hekimi diploması almaya hak kazanmamı takiben, Marmara Üniversitesi Diş Hekimliği Fakültesi Ortodonti Anabilim Dalında 5 yıllık doktora-uzmanlık programını 'Rapid Palatal Ekspansiyon Sonrasında Pulpada Görülen Histolojik ve Histomorfometrik Değişikliklerin Değerlendirilmesi' (Temmuz 1998) isimli tezimin sunumuyla bitirdim.
2001-2016 yılları arasında Yeditepe Üniversitesi Diş Hekimliği Fakültesi Ortodonti Anabilim Dalında görev yaptım. 2002 yılında Yardımcı Doçent Dr., 2006 yılında Doçent Dr., 2014 yılında Profesör ünvanlarını aldım. Aynı üniversitede Anabilim Dalı Başkanlığı ve Diş Hastanesi Tıbbi Müdürlüğü görevlerini yürüttüm. 2014-2019 yılları arasında Türk Ortodonti Derneği'nin bilimsel yayını Turkish Journal of Orthodontics'in Baş Editörlüğünü yürüttüm.
2017’den beri Marmara Üniversitesi Diş Hekimliği Fakültesi Ortodonti Anabilim Dalında öğretim üyesi, 2018’den beri ise aynı bölümde Anabilim Dalı Başkanı olarak görev yapmaktayım.
Evliyim, (iki kız bir erkek) üç çocuk annesiyim.
Prof. Dr. Fulya Özdemir Hakkında Daha Fazla Bilgi Alın

Şeffaf plaklar ortodontik tedavi araç ve yöntemlerinden biridir. Diğer yöntemlerde olduğu gibi avantaj ve dezavantajları vardır. Bir ortodonti uzmanının tanı koyması sonrasında tedavi planı oluşur. Tanı konduğunda hastamızın dişlerinin, yüzü ve dudakları ile olan estetik ilişkisi, dişlerin karşılıklı fonksiyonlarında sorun olup olmadığı, hastamızın şikayetinin nedenleri ve altında yatabilecek diğer ortodontik problemler ortaya konur.

• Sert gıdalar tüketmeyiniz. Patlamış mısır, bir avuç kuruyemiş, içi çekirdekli tüm meyveler (kiraz, zeytin, erik özellikle!) ve ön dişlerle ısırılan iri meyvalar braketlerinizin kırılmasına ve tedavi sürenizin uzamasına yol açar.
• İri gıdaları ince keserek ve çekirdekli gıdaların çekirdeklerini çıkartarak tüketiniz.

Takıp çıkarılabilen ve dişteli yerine kullanılan şeffaf ortodontik aygıtlar ile tedaviler sonrasında düzgün dişleri pekiştirmek ve tekrar bozulmasını önlemek için kullanılan ortodontik apareylerin kullanımı genellikle uzun süreli olmaktadır.

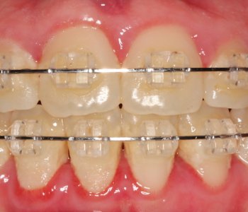
Dişlerine yapışık ortodontik aygıtları olan kişiler dişlerini günde 3 kere en az 2 dk sürecek şekilde fırçalamalıdırlar. Bu fırçalama sırasında dişlerin ve herbiri üzerindeki braket ve tellerin tek tek fırçalanmaları gerekmektedir. Her bir dişin yuvarlak hareketlerle fırçalanması sırasında bilek hareketi ile fırçanın kıllarının doğrultusunu yukardan aşağı ve aşağıdan yukarı olacak şekilde değiştirmek tellerin arasını daha etkin temizlemeye yardımcı olur.

Ortodontik tedavilerde her ne kadar cerrahi işlemler yapılmasa da, uygulanan apareylerde meydana gelebilecek ufak problemler, tellerin kırılması, yanaklara batması acil durumlar arasında sayılabilir. Bu tür bir problem varlığında bizim için öncelik hastamızın rahatsızlığının sona ermesidir.

1. Ortodontik tedavi sadece dişleri ve dişetleri sağlıklı kişilere yapılabilmektedir. Tedavi süresince de bu sağlığın korunması gerekir. Bunun için ağız hijyenini sağlamak çok önemlidir. Doktorunuz, ortodontik fırça, diş arası fırçası, diş duşu ya da diş ipi önerebilir. Doktorunuzun tavsiyesi doğrultusunda önerilen temizleme şekillerini dişlerinize ve varsa apareylerinize uygulayınız.

Sabit aygıtlar dişlere yapışık olduğundan temizlenmeleri büyük önem taşır. Yeterince temizlenemediği durumlarda etraflarında sürekli olarak bulunan yiyecek artıkları dişlerin kısa sürede hızla çürümelerini, dişlerin etrafında kısa sürede diştaşları oluşması ve dişetlerinin şişip daha fazla besin artığı birikecek şekle girmelerine neden olacaktır.

Çocuklarda beş ile yedi yaş civarında süt diş dizisinin en arka bölgesinde birinci büyük azı, diğer adıyla altı yaş dişi sürer. Bu dişin sürmesi ile birlikte ön bölgede de kesici dişler dediğimiz alt ve üst ön dört süt dişinin de sallanıp düşmesi ve daimi dişlerin onların yerine sürmesi söz konusudur.

Dişlerinizde teller varken mümkünse her yemekten sonra dişler, temizlik sağlanana kadar fırçalanmalıdır.

Teller takıldığı seans hastamiz dişlerinde bir gerginlik hissetmeye başlar. Bu gerginlik hissi bazı kişilerde o günün akşamına doğru ağrı olarak algılanmaya başlanabilir. Diş tellerinin uygulanması sonrasında bazı kişilerde hiç gerginlik hissi ve ağrı olmazken, bazı kişilerde ise 3-4 gün süren diş ağrısı olabilmektedir.

Diş telleri takıldığında bir hafta- on gün yanakların bu duruma alışması sırasında tellerin yanakları aşırı tahriş edip yara yapmamasına dikkat etmek gerekir.

Şeffaf apareylerle yapılan tedavilerde bir takım kurallara uyulması şartıyla çok başarılı sonuçları çok hızlı bir şekilde ve hiç tel görüntüsü olmaksızın almak mümkündür.





